Aktuelles

Juhuuuu, sie sind gelandet :-)              Unsere Feli hat uns am 29.03. ein wundervolles Quartett ( 3 Mädels und 1 Bub ) geschenkt! Alle sind topfit und putzmunter und auch Feli geht es großartig :-) Wir sind überglücklich, die Kleinen nun endlich bei uns zu haben und freuen uns schon sehr auf die nächsten Wochen ;-)                        Mehr gibt es auch unter Unsere Welpen P-Wurf.

Trächtigkeitstagebuch unseres D-Wurfes von Anni und Bandit

Die Geburt

02.04.2019 ( 63.Tag / 9.Woche )

Hallo ihr Lieben :-) Meine Temperatur lag heute morgen bei 36,2 C° und steigt nun langsam wieder :-) Meine kleinen Krümel müssten nun in den nächsten 6 bis 24 Stunden das Licht der Welt erblicken :-) Ich werde auch so langsam immer nervöser und hechle teilweise schon ziemlich stark :-) Es bleibt spannend ;-)                                                                                                               Liebe Grüße, eure Anni

01.04.2019 ( 62.Tag / 9.Woche )

Guten Morgen ihr Lieben :-) Bei uns ist noch alles ruhig. Meine kleinen Monster fühlen sich in meinem Bauch pudelwohl und möchten scheinbar noch nicht schlüpfen :-) Meine Fraulis und auch der Rest meiner Familie sind schon am rätseln, wann es endlich losgeht :-) Doch ich glaube das dauert noch ein bisschen :-) Auch ich bin noch ziemlich entspannt und harre geduldig aus, bis meine Kleinen rausmöchten :-) Heute Morgen um 07:30 Uhr, betrug meine Temperatur 36,9 C° :-) Später messen meine Fraulis nochmal. Meine Tallie ist unverändert und misst 80cm :-)                                                                              Bis später, eure Anni                                                                                                     Nachtrag : Meine Temperatur hat um 19:00 Uhr 36,7 C° betragen :-)

Nochmal ein Bauchbild :-) Er ist schon ziemlich nach unten gerutscht :-)

29.03.2019 ( 59.Tag / 9.Woche )

Huhu meine lieben Fans ;-) Ich wollte mal wieder von mir hören lassen :-) Mir geht es sehr gut :-) Mein Bauch hat sich schon ganz schön abgesenkt, so langsam schieben sich die kleinen Mäuse in Position :-) Meine kleinen Krümelchen sind nun extrem aktiv, sie treten und strampeln ununterbrochen :-( Ist nicht immer ganz so angenehm. Doch trotz allem bin ich immer noch total entspannt, sagen jedenfalls meine Fraulis :-)  Meine Tallie misst mitlerweile 80cm und meine Temperatur liegt bei 37,2 C°                                                           Liebe Grüße, eure Anni 

Meine Kugel :-)

Dieses Wetter macht doch ziemlich müde sage ich euch :-)

25.03.2019 ( 55.Tag / 8.Woche )

Guten Tag ihr Lieben :-) Hier mal ein kleines Update :-) Ich werde nun immer träger, liege viel öfter in meinem Pool und horche in mich hinein :-) Meine kleinen Monsterchen sind nun richtig aktiv und schon sehr gut auch von außen sichtbar :-) Sie treten mich immer sehr fleißig, tzzz so eine Unverschämtheit ;-) Auf den Spaziergängen trotte ich immer ein paar Meter hinter den anderen und wenn es nach Hause geht, dann habe ich es manchmal schon ztiemlich eilig ! Habe ja nun ab und an schon Senkwehen , die braucht ja auch kein Mensch :-( Auch fange ich an die Decken in meinem Pool auf einen Haufen zu graben und mir ein Nest zu bauen :-) Ansonsten geht es mir sehr gut und auch mein Hunger ist nicht zu stillen :-) Die kleinen Monster sind nun ca.15cm groß und könnten ab morgen sicher zur Welt kommen :-)  Doch noch ist es hier ganz entspannt und die Kleinen zeigen noch keine Anzeichen, dass sie raus wollen :-) Ich habe also noch ein paar Tage ;-) Meine Tallie misst ca. 76cm und meine Temperatur beträgt 37,4 C° :-) Es ist also alles noch im grünen Bereich :-)            Liebe Grüße, eure Anni

Hier sieht man schön, wie ich in mich herein horche :-)

20.03.2019 ( 50.Tag / 8.Woche )

Ich wollte mich mal wieder melden :-) Meine kleinen Monsterchen sind nun schon ca. 10cm groß und werden immer aktiver :-) Wenn sie sich in meinem Bäuchlein bewegen, dann kann man es manchmal sogar schon von außen sehen :-) Inzwischen wurden auch mein Gesäuge freigeschnitten, um den kleinen Krümeln den Zugang zu erleichtern, wenn sie da sind  :-) Es dauert ja nun auch nicht mehr  lange bis die Kleinen das Licht der Welt erblicken :-) Hier freuen sich schon alle sehr :-) Ab heute wird auch meine Temperatur gemessen, damit meine Fraulis Anhaltspunke haben, wann es soweit ist, denn wenn meine Körpertemperatur um ca. 0,5-1 Grad fällt, dann werden meine kleinen Krümel ziemlich bald schlüpfen :-) Solange sie das aber noch nicht tun, werde ich die ausgiebigen Schmuseeinheiten und das lecker Futter weiterhin genießen :-)  Meine Temperatur liegt bei 37,4 C° und meine Talie misst 70cm  :-)  Bis demnächst, eure Anni

Mein Bäuchlein wächst und wächst ;-)

Spaziergang mit meinen Freunden :-)

Ich bin ein Sturmcollie :-)

15.03.2019 ( 45.Tag / 7.Woche )

Hallo ihr Lieben, mir geht es super :-) nur das mit dem hinlegen wird langsam kompliziert, es ist echt nicht leicht eine Schlafposition zu finden, wenn die kleinen Krümel keuz und quer in meinem Bäuchlein liegen :-) Die Kleinen sind jetzt auch immerhin schon ca.8cm groß und sind ganz schön munter :-) Ab und an können auch meine Fraulis die Bewegungen der Kleinen durch meine Bauchdecke fühlen :-) Sie freuen sich schon sehr auf meine süßen Monsterchen ;-) Mein Bäuchlein sieht man auch immer deutlicher ( auch auf dem Foto kann man es schon recht gut erkennen  :-)                                                 Ich melde mich bald wieder, eure Anni

Ich bin sehr wachsam :-) Auf meine kleinen Mäuse muss ich ja auch gut aufpassen ;-)

Auch nochmal ein Bild in " Action " von mir ;-)

10.03.2019 ( 40.Tag / 6.Woche )

Gestern Abend wurde noch mein Pool aufgebaut und ich bin sehr zufrieden mit ihm :-) Ich habe auch schon die ganze Nacht darin geschlafen :-) So ein Pool zu haben ist schon eine tolle Sache :-)

09.03.2019 ( 39.Tag / 6.Woche )

Huhu ihr Lieben :-) Mir geht es super :-) Ich bin ja nun schon in der 6. Woche und so langsam wird es wirklich beschwerlich :-) Mein Bäuchlein, welches auch immer schön zärtlich von meinen Fraulis gekrault wird, wächst ziemlich schnell und man kann es auch schon wunderbar fühlen :-) Bei unseren Spaziergängen tobe ich nun nicht mehr so viel, sondern halte mich lieber bei meinen Fraulis auf :-) Ich genieße die Aufmerksamkeit und die ganzen ausgiebigen Streicheleinheiten :-) Ich horche schon öfter mal in mich rein, denn die kleinen Krümel werden langsam ziemlich aktiv und ab nächster Woche können auch meine Fraulis die Kleinen spüren :-) Meine Wurfkiste bzw. Pool wir auch demnächst aufgebaut, damit ich mich schonmal an ihn gewöhnen kann ;-)                                                                                                    Bis dahin wünsche ich euch noch ein schönes Wochenende und einen guten Wochenstart :-)

Hier sieht man schon ganz gut die Haare an meinen Flanken abstehen :-)

Keine Lust mehr auf Fotos ;-) Bis bald :-)

04.03.2019 ( 34. Tag / 5.Woche )

Hallo ihr Lieben :-) Ich melde mich mal wieder :-) Bei meinen kleinen Krümeln ist die Organbildung ja nun schon abgeschlossen und sie beginnen sich zu entscheiden, ob sie ein Bub oder Mädel werden und welche Fellfarbe sie später mal haben möchten :-) Die Krümel sind jetzt ca. 3,5cm groß und ab und an horche ich schonmal in mich herein, was denn da alles in meinem Bäuchlein passiert :-) Ich habe ja nun auch schon gut die Hälfte geschafft und so langsam wird es doch etwas beschwerlicher :-) Ich habe z.B. schon aufgehört meine Hinterbeine nonstop anzuziehen wenn ich liege, da das Gewicht in meinem Bauch langsam anschteigt :-) Ansonsten geht es mir ziemlich gut und ich werde immer ordentlich geschmust ( bin noch schmusieger als sonst ;-) und es gibt mitlerweile auch schon zwei kleine Portionen am Tag, denn eine große passt nicht mehr so gut :-) So nun mache ich aber mal Schluss, denn es gibt jetzt Abendessen und ich habe wieder ordentlich Hunger ;-)                                   Ich wünsche euch noch einen schönen Abend :-)                                                     Eure Anni 

Heute auf dem Spaziergang :-)

Mein Bäuchlein kann ich nicht mehr verstecken :-)

27.02.2019 ( 29. Tag / 5.Woche )

Heute bin ich in die 5.Woche gekommen :-) Ich werde immer verfressener und würde am liebsten nur essen, doch Frauchen sagt, ich darf noch nicht so viel zunehmen. Immer muss man auf seine Linie achten tzz :-) Ansonsten geht es mir super, aber es ist definitiv zu warm, wir hatten hier gestern schon 18°C, meine Frauchen finden es ja klasse, ich ja eher weniger, war gestern nach unserem Spaziergang doch zemlich platt :-) Ich werde jetzt ncoh eine kleine Mahlzeit bekommen und mich ein wenig ausruhen ;-)                                           Ich wünsche euch noch einen schönen, sonnigen Tag :-)                                        Bis bald, eure Anni

Spazieren gehen wird immer anstrengender, vorallem bei dieser Hitze :-)

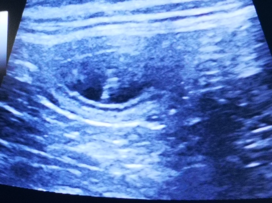
22.02.2019 ( 24.Tag / 4.Woche )

Unser erstes Bild von den Kleinen :-) Hier ist ein Krümelchen zu sehen :-)

Also :-) es hat geklappt :-) Nun haben auch meine Zweibeiner Gewissheit ( ich wusste es ja schon ;-) ich erwarte kleine Monster äh Krümel ;-) Hier sind alle total glücklich und freuen sich schon auf meine Kleinen, ich mich natürlich auch, vorallem auf die Verwöhneinheiten und dieses super leckere Futter, welches ich demnächst wieder bekomme ;-) So jetzt lecke ich mir noch den Rest dieses kalten Gels von meinem Bauch und schlafe erstmal eine Runde :-)   Bis demnächst, eure Anni :-)                                            

Hier sieht man zwei Krümelchen :-)

10.02.2019 ( 12. Tag / 2.Woche )

Huhu ich melde mich mal wieder .-) Mir geht es super, wie ihr auf dem Bild sehen könnt ;-) Nun ist schon mein 12 Tag und meine Zweibeiner sind schon am rätseln, ob es geklappt hat :-) Ich weiß es natürlich ;-)  Am 22.02 werden meine Zweibeiner mit mir zum Ultraschall fahren, damit auch sie wissen, ob ich kleine Krümel erwarte , sie sind schon ganz gespannt :-)  Euch noch einen schönen Abend und bis bald, eure Anni ;-)

Auf einem Spaziergang mit meinen Freunden :-)

30.01.2019 ( 1.Tag / 1.Woche )

Heute den 30.01.2019 haben Anni und Bandit fröhlich Hochzeit gefeiert :-) Wenn alles geklappt hat, dann werden hier um den 30.03 -01.04.2019 kleine Krümel das Licht der Welt erblicken :-)